Implants
SECURITY AND STABILITY
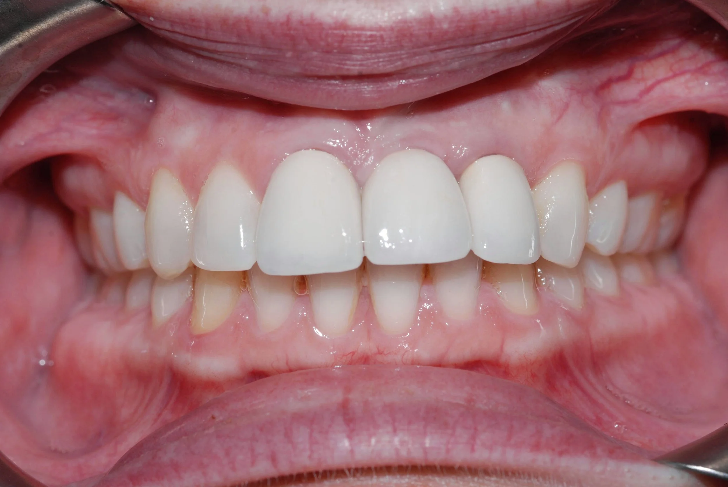
If you are missing one or more teeth and looking for endurance and stability, dental implants are the way to go. They may cost more and take slightly longer to complete than bridges or dentures, but they are the best choice for lifelong replacement.
Studies have shown that 95% of implants remain intact after ten years, whereas only 89% of bridges are holding in that same amount of time. Part of that longevity is due to the titanium steel posts and ceramic-like crowns they are made from. The titanium posts are surgically embedded into your jaw for a secure anchor. The ceramic crowns are then affixed to the posts for strong secure life-like tooth.
They don’t rely on the surrounding teeth for support (like bridges and dentures do), and they also help protect your neighboring teeth by providing a solid foundation. Since they are implanted right into your jaw, they give your bone something to grow on to, reducing your chance of bone loss. Without a root (or titanium post) in the jaw for bone to grow onto, bone loss will occur, which will eventually lead to more tooth loss and more bone loss -- a vicious cycling leaving you with an empty mouth.
But with an implant, the titanium posts are coated with a stimulant to promote bone growth. Your body actually bonds with the posts as it would with a real tooth root, yet it’s stronger that a natural root and tooth -- like a bionic tooth.
Implants are not just for function, either. They can improve your overall appearance, thus improving your confidence. With a natural look without the embarrassing possibility of dentures popping free, you can smile without worry. They also feel more like your original teeth, so you won’t have to go through that uncomfortable adjustment stage as with the other options.
If damage occurs to the ceramic tooth, it can be restored or replaced without removal of the steel post. If cared for properly, they can last as long as you do. Longevity matters when you’re talking teeth.
